Ray Ferrer - Emotion on Canvas
Dearest friends, fans, FAMILY!
Please reblog, share, tweet, FB, you name it!
Over the years it has been my freehand spray paint artwork that many of you are accustomed to seeing. There will be more but for now, there is this. My wife and I are working hard on keeping you up to date. We are blown away by the more than 60K followers who show there support to us daily on the blog and other social media platforms!
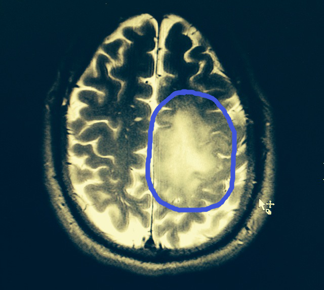
So, here is a scan of my brain and the Tumor is circled. Its bigger than first thought. On the 9th I have one more MRI w/ spectroscopy to determine the rate of growth and cell types. Then it gets really hairy.
I am doing the best I can to be in good spirits and will continue to strive! It really helps knowing I have touched so many people with my artwork…
View original post 139 more words

